
Injured Cat, Oslo, Finds His Happy Place

Just before Christmas in 2022, a severely injured black-and-white cat named Oslo was discovered in Brooklyn by a Good Samaritan and taken to a local veterinarian.
The veterinarian stabilized Oslo and transferred him to Animal Care Centers of NYC’s (ACC) Brooklyn location, where he was seen by Dr. Allison Bliss, Veterinary Staff and Program Manager for the ASPCA, who also works as a per diem veterinarian at ACC Brooklyn.
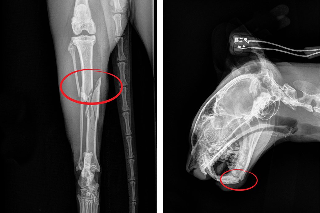
“He had a right hind leg fracture—both tibia and fibula—and a broken jaw and broken teeth, likely due to falling from a high-rise building,” says Dr. Bliss. “He was in so much pain and distress and he was so fearful—hissing, growling and lunging. But I thought, ‘If this were my cat, and he had this horrible accident, I would want him back.’ He was in so much pain we could hardly handle him.”
Dr. Bliss provided pain medication and saw Oslo again on Saturday morning, noticing his demeanor had improved remarkably.
“Oslo was super sweet, waiting at the front of his cage,” she says. “It just goes to show how fear and pain can affect behavior. I was seeing his real personality for the first time.”
Arriving at the ASPCA
On Christmas Eve, Oslo was stable enough to be transported to the ASPCA in Manhattan.
Dr. Melanie Benatato, an ASPCA veterinarian, shared a snapshot of Oslo with Dr. Bliss so that she knew that Oslo had arrived safely and was in good hands.

“It’s not the best photo, but you can see how Oslo had a funny habit of trying to dive headfirst into your lap as soon as you open his cage,” she says. “He is a very affectionate cat.”

Pain from his jaw fracture made it difficult for Oslo to eat, so an esophageal feeding tube was placed on the side of his neck. On December 30, Dr. Anna Whitehead amputated his leg. Oslo was also treated for an upper respiratory infection and given gabapentin, a typical behavior medication that also works as an effective analgesic.
As of New Year’s Day, Oslo could eat on his own and was moved to the ASPCA Adoption Center two days later.
Finding a Foster Caregiver
Adoption Center volunteers noted how Oslo solicited petting and wanted to rub against people and climb into their arms. They also documented how he explored his cat condo and showed interest in other cats, making him a good candidate for foster care.

From mid-January to February 4, Oslo was fostered by ASPCA volunteer Melissa G. and by Alice Y. from February 5 to 17.
“He was shy and reserved at first but quickly opened up and started cuddling up next to me,” Melissa says. “He was also very active and liked playing with his toys.”

Oslo continued eating soft food, and once his jaw healed, he underwent dental surgery to remove a misaligned tooth that was puncturing his upper palate.
Making a Purr-fect Match
Ana A. of Jersey City, New Jersey, had applied to adopt a cat when she was contacted by Christopher Wilson, an ASPCA Matchmaker, who recommended Oslo.
“I was originally interested in another cat, but I liked Oslo’s description,” says Ana, who visited the ASPCA with her roommate, Nat, on February 27. “It said he was social, affectionate and playful.”
To Ana and Nat, it was clear that Oslo’s description was an understatement.
“They were sold within 30 seconds,” Christopher says. “He was ready to play and so affectionate. It was a good match.”
Ana, who has been around cats her whole life but never had the opportunity to have one of her own, says Oslo took very little time to adjust to her home.

“He jumped right out of the carrier, and by the second day, he had the run of the house,” says Ana. “He was quiet at first but is much more vocal now. His meows are like our built-in alarm clock. He gets the zoomies a lot.”
Though Ana and Nat both work in Manhattan, their schedules differ, so Oslo is rarely home alone. And understanding Oslo’s story, they always make sure the windows are securely closed.

“We kind of share him,” she says. “He’s like our baby.”
“I love stories like Olso’s,” says Christopher. “His recovery is a testament to everyone who met him on his journey.”
High-rise syndrome is unfortunately seen far too frequently and is preventable with proper safety measures. As of May 31, 2023, veterinarians at the ASPCA Animal Hospital have treated 21 cases of high-rise syndrome. In 2022, 45 cases. The most common injuries associated with these incidents are shattered jaws, bruised or punctured lungs, and broken limbs and pelvises.
With Summer just around the corner, pet parents should help safeguard their animals by installing snug and sturdy screens in all their windows, even those with childproof window guards as cats and small dogs can easily slip through those.